往期阅读
当前版: 28版 上一版  下一版
上一篇    下一篇
放大 缩小 默认   

单孔腹腔镜为少女巧剥巨大卵巢囊肿

  ▌妇产科

  花季少女腹藏25厘米巨大囊肿压迫脏器,庆幸的是,微创“单孔”手术成功化解危机,但这个故事更想提醒家长:青春期女孩的妇科健康千万别忽视!

  花季突遭阴霾,巨大囊肿藏隐患

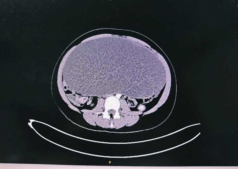
  小玲(化名)今年13岁,本该是活力四射的年纪。近期,她常感到腹部膨隆,胀痛不适,甚至影响到了日常活动和饮食。在家人的陪伴下,小玲来到通大附院妇产科主任医师叶青门诊就诊。经过详细检查,结果令人震惊:小玲的盆腔内竟藏着一个直径约25厘米的巨大卵巢囊肿!如此巨大的囊肿在如此年轻的患者身上实属罕见,它已严重压迫腹腔脏器,如不及时处理,不仅痛苦加剧,更存在扭转、破裂甚至影响未来生育功能的巨大风险。

  微创“钥匙孔”挑战极限,单孔腹腔镜显神威

  面对如此巨大的囊肿和年仅13岁的患者,手术方案的选择至关重要。既要安全、彻底地剥除囊肿,又要最大程度减少创伤、保护卵巢功能,并兼顾术后美观,这对手术团队提出了极高要求。 

  叶青团队经过严谨的术前评估和讨论,并与小玲家长充分沟通后,决定迎难而上,采用目前最微创、美观效果最佳的单孔腹腔镜技术进行手术。与传统的多孔腹腔镜相比,单孔腹腔镜只需在肚脐处做一个约2厘米的微小切口,所有操作器械均通过这个单一通道进入腹腔。 

  在手术团队的精湛技艺、默契配合和精细操作下,手术顺利完成!巨大囊肿被完整剥除,术中共吸出囊液7000毫升,患侧卵巢得以最大程度保留其正常结构和功能。更令人欣喜的是,术中采用了特殊的标本取出技术,

上一篇    下一篇
 
     标题导航
   第01版:封面
   第02版:封二
   第03版:目录
   第04版:目录
   第05版:目录
   第06版:时评
   第07版:时评
   第08版:重磅
   第09版:重磅
   第10版:重磅
   第11版:重磅
   第12版:重磅
   第13版:重磅
   第14版:技术
   第15版:技术
   第16版:技术
   第17版:技术
   第18版:技术
   第19版:技术
   第20版:技术
   第21版:技术
   第22版:技术
   第23版:故事
   第24版:故事
   第25版:故事
   第26版:故事
   第27版:故事
   第28版:故事
   第29版:故事
   第30版:故事
   第31版:故事
   第32版:故事
   第33版:故事
   第34版:故事
   第35版:服务
   第36版:服务
   第37版:服务
   第38版:服务
   第39版:服务
   第40版:服务
   第41版:服务
   第42版:服务
   第43版:服务
   第44版:科普
   第45版:科普
   第46版:科普
   第47版:科普
   第48版:科普
   第49版:科普
   第50版:科普
   第51版:科普
   第52版:科普
   第53版:科普
   第54版:科普
   第55版:科普
   第56版:科普
   第57版:科普
   第58版:科普
   第59版:封三
   第60版:封底
单孔腹腔镜为少女巧剥巨大卵巢囊肿